Today in 1957, a special report by the British Medical Research Council revealed for the first time that smoking… is a direct cause of lung cancer. Prior to reaching this conclusion, researchers had been trying to find the cause behind the increasing number of deaths from lung cancer over the past 25 years. This research on lung cancer was the largest study conducted so far. The World Health Organization estimates that by the year 2020, the number of deaths from lung cancer worldwide will reach approximately one million.
This special report by the British Medical Research Council has revealed an important finding: smoking is a direct cause of lung cancer. This groundbreaking discovery sheds light on the harmful effects of smoking and its correlation with this devastating form of cancer.
The report, which represents a significant milestone in medical research, provides evidence substantiating the long-suspected link between smoking and lung cancer. It is the first time that such a direct cause-and-effect relationship has been definitively established.
The findings of this report are derived from extensive research and analysis conducted by the British Medical Research Council. The researchers examined a large number of cases and compared the incidence of lung cancer among smokers and non-smokers. The results overwhelmingly indicate that smoking significantly increases the risk of developing lung cancer.
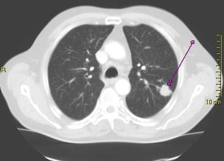
CT scan showing a cancerous tumor in the left lung
Lung cancer is a deadly disease that affects millions of people worldwide. It is characterized by the uncontrolled growth of abnormal cells in the lungs, leading to the formation of tumors. Until now, the specific causes of lung cancer have been a topic of great speculation and debate. However, this report unequivocally concludes that smoking is a direct contributor to the development of this aggressive and often fatal cancer.
The report emphasizes the need for public awareness campaigns and government interventions to combat smoking. It urges individuals to refrain from smoking and encourages smokers to quit immediately. It also highlights the importance of legislation and policies that restrict tobacco advertising, increase taxation on tobacco products, and enhance access to smoking cessation programs.
The implications of this report are far-reaching. It underscores the urgent need to address smoking as a public health crisis and to implement effective strategies to reduce smoking rates. Moreover, it serves as a powerful tool in influencing public opinion, empowering individuals to make informed choices about their health.
The British Medical Research Council’s special report on smoking and lung cancer marks a significant milestone in the understanding of this deadly disease. It provides solid evidence that smoking is not just a contributing factor but a direct cause of lung cancer. This knowledge should serve as a catalyst for change, prompting society to take collective action to combat smoking and protect public health.
#Hindi
आज, 1957 में, ब्रिटिश मेडिकल रिसर्च काउंसिल की एक विशेष रिपोर्ट में पहली बार यह बताया गया कि धूम्रपान फेफड़ों के कैंसर का सीधा कारण है। इसके पहले, शोधकर्ता पिछले 25 वर्षों में फेफड़ों के कैंसर से बढ़ती हुई मौतों के पीछे का कारण जानने की कोशिश कर रहे थे। फेफड़ों के कैंसर पर यह अब तक का सबसे बड़ा अध्ययन था। विश्व स्वास्थ्य संगठन का अनुमान है कि 2020 तक दुनिया भर में फेफड़ों के कैंसर से होने वाली मौतों की संख्या लगभग दस लाख तक पहुंच जाएगी।
ब्रिटिश मेडिकल रिसर्च काउंसिल की इस विशेष रिपोर्ट ने एक महत्वपूर्ण खोज की है: धूम्रपान फेफड़ों के कैंसर का सीधा कारण है। इस खोज से धूम्रपान के हानिकारक प्रभाव और इस घातक बीमारी के बीच के संबंध पर रौशनी पड़ी है। यह रिपोर्ट मेडिकल रिसर्च में एक महत्वपूर्ण उपलब्धि का प्रतिनिधित्व करती है और धूम्रपान और फेफड़ों के कैंसर के बीच लंबे समय से संदेहास्पद संबंध को प्रमाणित करती है। यह पहली बार है कि ऐसा सीधा कारण-प्रभाव संबंध निर्णायक रूप से स्थापित किया गया है।
इस रिपोर्ट के निष्कर्ष ब्रिटिश मेडिकल रिसर्च काउंसिल द्वारा किए गए व्यापक शोध और विश्लेषण से प्राप्त हुए हैं। शोधकर्ताओं ने धूम्रपान करने वालों और न करने वालों के बीच फेफड़ों के कैंसर की घटनाओं की तुलना की। परिणाम बहुत स्पष्ट रूप से दिखाते हैं कि धूम्रपान करने से फेफड़ों के कैंसर का खतरा काफी हद तक बढ़ जाता है।
फेफड़ों का कैंसर एक घातक बीमारी है जो दुनिया भर में लाखों लोगों को प्रभावित करती है। यह फेफड़ों में असामान्य कोशिकाओं की अनियंत्रित वृद्धि के कारण होता है, जिससे ट्यूमर बनते हैं। अब तक, फेफड़ों के कैंसर के विशेष कारणों के बारे में कई चर्चाएं और विचार-विमर्श होते रहे हैं। हालांकि, इस रिपोर्ट से स्पष्ट हो गया है कि धूम्रपान इस घातक और अक्सर जानलेवा कैंसर के विकास में एक सीधा योगदानकर्ता है।
रिपोर्ट में सार्वजनिक जागरूकता अभियानों और सरकारी हस्तक्षेपों की आवश्यकता पर जोर दिया गया है ताकि धूम्रपान को नियंत्रित किया जा सके। इसे धूम्रपान छोड़ने के लिए प्रेरित करने और तंबाकू उत्पादों पर कर बढ़ाने जैसी नीतियों की सिफारिश की गई है। इस रिपोर्ट के प्रभाव बहुत व्यापक हैं। यह धूम्रपान को एक सार्वजनिक स्वास्थ्य संकट के रूप में मान्यता देने और धूम्रपान दरों को कम करने के लिए प्रभावी रणनीतियों को लागू करने की तात्कालिक आवश्यकता को रेखांकित करता है।
ब्रिटिश मेडिकल रिसर्च काउंसिल की विशेष रिपोर्ट धूम्रपान और फेफड़ों के कैंसर को समझने में एक महत्वपूर्ण उपलब्धि है। यह स्पष्ट प्रमाण प्रदान करती है कि धूम्रपान केवल एक योगदानकर्ता कारक नहीं है, बल्कि फेफड़ों के कैंसर का सीधा कारण है। यह जानकारी परिवर्तन के लिए उत्प्रेरक के रूप में काम करना चाहिए, समाज को धूम्रपान से लड़ने और सार्वजनिक स्वास्थ्य की रक्षा के लिए सामूहिक कार्रवाई करने के लिए प्रेरित करना चाहिए।
Today in 1957, a special report by the British Medical Research Council revealed for the first time that smoking… is a direct cause of lung cancer. Prior to reaching this conclusion, researchers had been trying to find the cause behind the increasing number of deaths from lung cancer over the past 25 years. This research on lung cancer was the largest study conducted so far. The World Health Organization estimates that by the year 2020, the number of deaths from lung cancer worldwide will reach approximately one million.
This special report by the British Medical Research Council has revealed an important finding: smoking is a direct cause of lung cancer. This groundbreaking discovery sheds light on the harmful effects of smoking and its correlation with this devastating form of cancer.
The report, which represents a significant milestone in medical research, provides evidence substantiating the long-suspected link between smoking and lung cancer. It is the first time that such a direct cause-and-effect relationship has been definitively established.
The findings of this report are derived from extensive research and analysis conducted by the British Medical Research Council. The researchers examined a large number of cases and compared the incidence of lung cancer among smokers and non-smokers. The results overwhelmingly indicate that smoking significantly increases the risk of developing lung cancer.
Lung cancer is a deadly disease that affects millions of people worldwide. It is characterized by the uncontrolled growth of abnormal cells in the lungs, leading to the formation of tumors. Until now, the specific causes of lung cancer have been a topic of great speculation and debate. However, this report unequivocally concludes that smoking is a direct contributor to the development of this aggressive and often fatal cancer.
The report emphasizes the need for public awareness campaigns and government interventions to combat smoking. It urges individuals to refrain from smoking and encourages smokers to quit immediately. It also highlights the importance of legislation and policies that restrict tobacco advertising, increase taxation on tobacco products, and enhance access to smoking cessation programs.
The implications of this report are far-reaching. It underscores the urgent need to address smoking as a public health crisis and to implement effective strategies to reduce smoking rates. Moreover, it serves as a powerful tool in influencing public opinion, empowering individuals to make informed choices about their health.
The British Medical Research Council’s special report on smoking and lung cancer marks a significant milestone in the understanding of this deadly disease. It provides solid evidence that smoking is not just a contributing factor but a direct cause of lung cancer. This knowledge should serve as a catalyst for change, prompting society to take collective action to combat smoking and protect public health.
#Hindi
आज, 1957 में, ब्रिटिश मेडिकल रिसर्च काउंसिल की एक विशेष रिपोर्ट में पहली बार यह बताया गया कि धूम्रपान फेफड़ों के कैंसर का सीधा कारण है। इसके पहले, शोधकर्ता पिछले 25 वर्षों में फेफड़ों के कैंसर से बढ़ती हुई मौतों के पीछे का कारण जानने की कोशिश कर रहे थे। फेफड़ों के कैंसर पर यह अब तक का सबसे बड़ा अध्ययन था। विश्व स्वास्थ्य संगठन का अनुमान है कि 2020 तक दुनिया भर में फेफड़ों के कैंसर से होने वाली मौतों की संख्या लगभग दस लाख तक पहुंच जाएगी।
ब्रिटिश मेडिकल रिसर्च काउंसिल की इस विशेष रिपोर्ट ने एक महत्वपूर्ण खोज की है: धूम्रपान फेफड़ों के कैंसर का सीधा कारण है। इस खोज से धूम्रपान के हानिकारक प्रभाव और इस घातक बीमारी के बीच के संबंध पर रौशनी पड़ी है। यह रिपोर्ट मेडिकल रिसर्च में एक महत्वपूर्ण उपलब्धि का प्रतिनिधित्व करती है और धूम्रपान और फेफड़ों के कैंसर के बीच लंबे समय से संदेहास्पद संबंध को प्रमाणित करती है। यह पहली बार है कि ऐसा सीधा कारण-प्रभाव संबंध निर्णायक रूप से स्थापित किया गया है।
इस रिपोर्ट के निष्कर्ष ब्रिटिश मेडिकल रिसर्च काउंसिल द्वारा किए गए व्यापक शोध और विश्लेषण से प्राप्त हुए हैं। शोधकर्ताओं ने धूम्रपान करने वालों और न करने वालों के बीच फेफड़ों के कैंसर की घटनाओं की तुलना की। परिणाम बहुत स्पष्ट रूप से दिखाते हैं कि धूम्रपान करने से फेफड़ों के कैंसर का खतरा काफी हद तक बढ़ जाता है।
फेफड़ों का कैंसर एक घातक बीमारी है जो दुनिया भर में लाखों लोगों को प्रभावित करती है। यह फेफड़ों में असामान्य कोशिकाओं की अनियंत्रित वृद्धि के कारण होता है, जिससे ट्यूमर बनते हैं। अब तक, फेफड़ों के कैंसर के विशेष कारणों के बारे में कई चर्चाएं और विचार-विमर्श होते रहे हैं। हालांकि, इस रिपोर्ट से स्पष्ट हो गया है कि धूम्रपान इस घातक और अक्सर जानलेवा कैंसर के विकास में एक सीधा योगदानकर्ता है।
रिपोर्ट में सार्वजनिक जागरूकता अभियानों और सरकारी हस्तक्षेपों की आवश्यकता पर जोर दिया गया है ताकि धूम्रपान को नियंत्रित किया जा सके। इसे धूम्रपान छोड़ने के लिए प्रेरित करने और तंबाकू उत्पादों पर कर बढ़ाने जैसी नीतियों की सिफारिश की गई है। इस रिपोर्ट के प्रभाव बहुत व्यापक हैं। यह धूम्रपान को एक सार्वजनिक स्वास्थ्य संकट के रूप में मान्यता देने और धूम्रपान दरों को कम करने के लिए प्रभावी रणनीतियों को लागू करने की तात्कालिक आवश्यकता को रेखांकित करता है।
ब्रिटिश मेडिकल रिसर्च काउंसिल की विशेष रिपोर्ट धूम्रपान और फेफड़ों के कैंसर को समझने में एक महत्वपूर्ण उपलब्धि है। यह स्पष्ट प्रमाण प्रदान करती है कि धूम्रपान केवल एक योगदानकर्ता कारक नहीं है, बल्कि फेफड़ों के कैंसर का सीधा कारण है। यह जानकारी परिवर्तन के लिए उत्प्रेरक के रूप में काम करना चाहिए, समाज को धूम्रपान से लड़ने और सार्वजनिक स्वास्थ्य की रक्षा के लिए सामूहिक कार्रवाई करने के लिए प्रेरित करना चाहिए।
Share this: